|
您所在的位置 > 东南网宁德频道 > 本网原创 > 正文

鱼刺卡喉一月未重视 竟须手术切除腺体

2025-10-16 19:45:42  作者:周涛 何观文   来源:东南网   责任编辑:王予捷

东南网10月16日讯(本网记者 周涛 通讯员 何观文)“本以为卡鱼刺是小事,没想到最后要动大手术……” 谈起这段经历,47 岁的孙先生(化名)满是感慨。因一根误吞的鱼刺,他被咽痛困扰近1个月,最终还得通过手术切除颌下腺才解决问题。

1个月前,孙先生吃饭时不慎被鱼刺卡喉,当时便感觉咽部刺痛、有异物感,前往外院检查却没找到鱼刺的踪迹。想着可能鱼刺已经下去了,孙先生便没再重视,可咽部的疼痛感、异物感却始终存在,整整困扰了他1个月。近期,咽痛依旧的孙先生再次到医院做CT检查,却发现鱼刺竟然“游走”到了下颌下腺(位于下颌下区的重要唾液腺)区域。

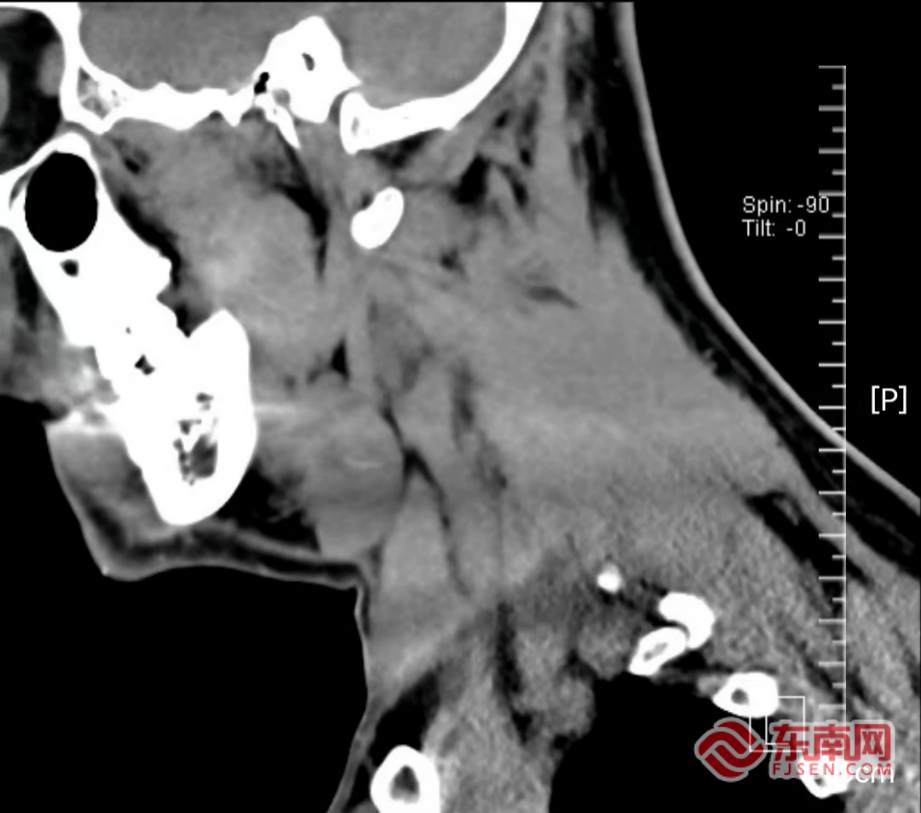
术前影像图。宁德市医院供图

为求稳妥治疗,孙先生来到宁德市医院耳鼻咽喉头颈外科就诊。副主任医师张茂华接诊后,结合CT影像仔细评估发现,鱼刺已侵入下颌下腺内部。“由于异物长期刺激,腺体局部炎症反应明显,若不及时处理,可能引发更严重的感染,甚至异物进一步游走到颈部的大血管引发大出血。”张茂华介绍。经综合判断,医生决定为孙先生实施下颌下腺切除术,以彻底清除异物并解决腺体受侵问题。

术后影像图。宁德市医院供图

手术过程比预想的更具挑战。医生小心翼翼切除受侵的下颌下腺组织后,将腺体组织一点点切开仔细探查、细致分离,最终在腺体组织中找到小小的鱼刺。当鱼刺被成功取出时,孙先生悬了一个月的心终于落了地,困扰他许久的咽痛和异物感也终于得到解决。

医生科普:卡鱼刺要避开这些误区

误区一:吞饭、喝醋硬冲?吞饭会让鱼刺“扎得更深”,甚至损伤食管;醋的酸性不足以软化鱼刺,反而可能刺激黏膜。

误区二:没查到就不管?像孙先生这样,外院没查到鱼刺就忽视症状,可能错过异物早期处理时机,导致其“游走”引发更复杂损伤。

误区三:忍一忍就过去?鱼刺持续刺激黏膜,易引发炎症、溃疡,甚至侵入周围腺体、组织间隙,增加治疗难度。

正确做法:卡刺后应立即停止进食,减少吞咽动作,及时到医院耳鼻喉科就诊;医生会通过喉镜、CT等专业检查明确异物位置,再用专业工具安全取出,切勿拖延。

更多>>宁德要闻
更多>>民生要闻
更多>>新闻图片
  • 三天
  • 一周
  • 一月
点击排行
关于我们 | 广告服务 | 网站地图 | 网站公告
国新办发函[2001]232号 闽ICP备案号(闽ICP备05022042号) 互联网新闻信息服务许可证 编号:35120170001 网络文化经营许可证 闽网文〔2019〕3630-217号
信息网络传播视听节目许可(互联网视听节目服务/移动互联网视听节目服务)证号:1310572 广播电视节目制作经营许可证(闽)字第085号
网络出版服务许可证 (署)网出证(闽)字第018号 增值电信业务经营许可证 闽B2-20100029 互联网药品信息服务(闽)-经营性-2015-0001
福建日报报业集团拥有东南网采编人员所创作作品之版权,未经报业集团书面授权,不得转载、摘编或以其他方式使用和传播
职业道德监督、违法和不良信息举报电话:0591-87095403(工作日9:00-12:00、15:00-18:00) 举报邮箱:jubao@fjsen.com 福建省新闻道德委举报电话:0591-87275327