|
您所在的位置 > 东南网宁德频道 > 专题专栏 > 闽东中医 > 健康快讯 > 正文

宁德市中医院创伤骨科成功完成一例双侧髋臼骨折手术

2026-03-25 11:29:00  作者:周涛   来源:东南网   责任编辑:王予捷

东南网3月25日讯(本网记者 周涛)近日,宁德市中医院创伤骨科团队凭借扎实的诊疗功底和默契的协作能力,成功为一名双侧髋臼骨折患者实施复杂骨折复位内固定手术。目前患者术后恢复良好,此次手术的顺利完成,也标志着该院在复杂骨盆髋臼创伤救治领域的诊疗水平得到进一步提升。

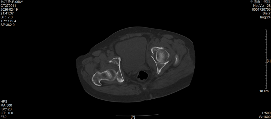
今年57岁的孙女士,因车祸外伤被紧急送往宁德市中医院创伤骨科就诊,经检查确诊为右侧髋臼后壁骨折伴股骨头后脱位,左侧髋臼T形骨折且累及四边体。据了解,髋臼骨折多由高能量损伤引发,其解剖结构复杂,毗邻重要血管神经,复位精度要求高、手术风险大,一直是创伤骨科领域的高难度手术,而双侧髋臼骨折更是该领域中极具挑战性的病例,不仅创伤重、术中出血风险高,诊疗难度也大幅提升。更为棘手的是,孙女士还合并有严重糖尿病及Ⅰ型呼吸衰竭,这无疑进一步增加了病情的复杂性和诊疗的艰巨性。

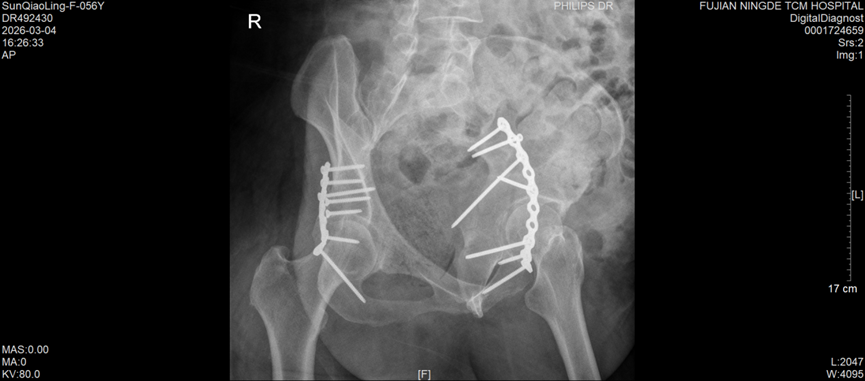
接诊后,该院创伤骨科主任黄聪第一时间牵头组建诊疗小组,面对复杂病情没有退缩,主动担当,迅速联合麻醉科、内分泌科、呼吸科等多个科室开展多学科联合诊疗(MDT),反复研讨患者病情,量身制定周密的诊疗方案。诊疗小组优先对孙女士的基础疾病进行干预,在短期内将其病情控制稳定,最终决定采用同期双侧手术方案,让患者仅需经历一次手术、一次麻醉,有效避免了二次手术带来的创伤,也显著减轻了患者的身体痛苦和经济负担。

手术过程中,创伤骨科团队凭借扎实的解剖知识和娴熟的手术操作技巧,小心翼翼地进行组织精细分离,精准完成骨折复位,随后顺利实施牢靠的内固定操作,全程注重保护周围神经血管,严格控制术中出血和组织损伤。得益于周密的术前方案和精准的术中操作,此次手术总出血量控制在传统单侧髋臼骨折手术的常规水平,手术进展顺利。

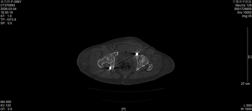
术后,医护团队针对孙女士的具体情况,实施个体化镇痛、抗凝治疗,并引入快速康复(ERAS)管理理念,全程密切监测患者病情变化,及时调整康复方案。目前,孙女士恢复情况良好,未出现任何术后并发症,髋关节功能正稳步恢复,已进入有序的康复阶段。

此次复杂双侧髋臼骨折病例的成功救治,充分展现了宁德市中医院创伤骨科在重症骨盆髋臼损伤诊疗方面的技术实力,也凸显了该院多学科协作诊疗的优势。下一步,该院创伤骨科将继续深耕微创化、精准化、规范化的救治理念,不断锤炼诊疗技术,提升急危重症创伤救治能力,为辖区群众的骨骼健康和生命安全提供更坚实、更可靠的医疗保障。

更多>>宁德要闻
更多>>民生要闻
更多>>新闻图片
  • 三天
  • 一周
  • 一月
点击排行
关于我们 | 广告服务 | 网站地图 | 网站公告
国新办发函[2001]232号 闽ICP备案号(闽ICP备05022042号) 互联网新闻信息服务许可证 编号:35120170001 网络文化经营许可证 闽网文〔2019〕3630-217号
信息网络传播视听节目许可(互联网视听节目服务/移动互联网视听节目服务)证号:1310572 广播电视节目制作经营许可证(闽)字第085号
网络出版服务许可证 (署)网出证(闽)字第018号 增值电信业务经营许可证 闽B2-20100029
福建日报报业集团拥有东南网采编人员所创作作品之版权,未经报业集团书面授权,不得转载、摘编或以其他方式使用和传播
职业道德监督、违法和不良信息举报电话:0591-87095403(工作日9:00-12:00、15:00-18:00) 举报邮箱:jubao@fjsen.com 福建省新闻道德委举报电话:0591-87275327