|
您所在的位置 > 东南网宁德频道 > 本网原创 > 正文

太罕见!气喘半年查不出病因 竟是“牛奶肺”在作祟

2026-04-09 20:51:01  作者:林继清 周涛   来源:东南网   责任编辑:王予捷

东南网4月9日讯(通讯员 林继清 本网记者 周涛)正值壮年的货车司机林先生(化名)被不明原因气喘折磨大半年——轻搬货物就呼吸困难,洗把脸都得歇半天,辗转多家医院,吃遍中西药,却始终查不出病根,一度陷入绝望。

近日,饱受疾病折磨的林先生来到宁德市医院呼吸与危重症医学科,一见到接诊医生就红着眼眶诉说:“薛主任,我喘了大半年,到处看病,说什么病的都有,中西药都吃怕了也没用,你就说我还能活多久吧。”言语间满是失落与无助。

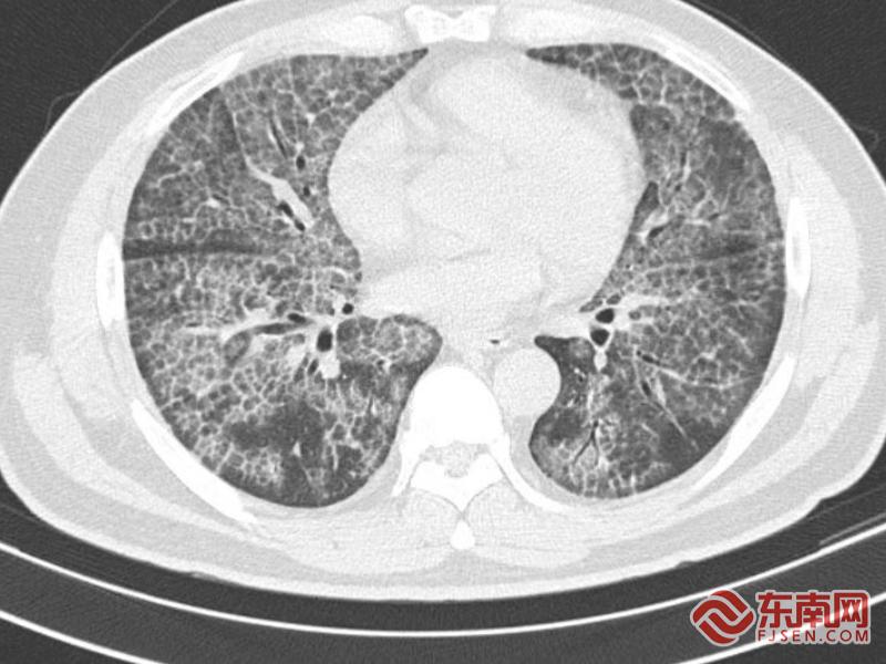
宁德市医院副院长、呼吸与危重症科主任医师薛青耐心问诊并完善肺部 CT 检查后,初步判断其为极为罕见的肺泡蛋白沉积症,他安抚患者,可为肺部 “洗个澡”,缓解病症。后续经气管镜肺活检等检查,林先生最终确诊该病。

手术现场。宁德市医院供图

鉴于患者气喘明显,血氧饱和度低,为确保手术安全,术前呼吸与危重症医学科科主任方桂桔组织科室进行多学科讨论,制定详尽的围手术管理及手术方案,决定采取分次进行肺灌洗术,即先进行右肺灌洗,1周后再行左肺灌洗。

影像图。宁德市医院供图

在麻醉科、护理团队的紧密协作下,手术顺利完成。2次治疗共应用20000ml生理盐水进行肺灌洗,灌洗液从最初的“牛奶状”逐渐变得清亮。 术后,林先生气喘改善明显,氧合指数恢复正常,出院时更是打趣,感觉自己能跑全程马拉松!

支气管肺泡灌洗液情况。宁德市医院供图

方桂桔表示,肺泡蛋白沉积症是以肺泡腔及细支气管内沉积大量非脂溶性磷脂蛋白样物质为主要特征的一种极其罕见肺部疾病,发病率仅为3.7/100万。主要可表现为咳嗽、呼吸困难及咳痰,也可表现为咯血、乏力、胸痛等不典型症状。目前全肺灌洗仍是主要的治疗方法,即在全身麻醉状态下行双腔支气管插管,一侧肺通气,一侧肺灌洗,反复予 37℃生理盐水灌洗,采用物理手段清除肺泡表面活性物质,以缓解临床症状。在此,特别提醒:如出现长时间不明原因咳嗽、活动后气喘等症状,应及时就医,避免延误诊治。

需要特别提醒的是,全肺灌洗术是一种侵入性治疗,目前国内外仍缺乏关于此操作的标准化指导,该项技术难度很大,极其考验术者的操作水平与多学科的配合度,如操作不当,可出现发热、低氧血症、气胸、液气胸、急性呼吸窘迫综合征等情况。

本次病例的治疗,也是宁德市医院呼吸与危重症科在罕见病领域的又一次进步。近年来,该院借助与上海市第一人民医院合作办医以及四川大学华西医院“王刚名医工作室”的高水准平台,在呼吸科的少见病、罕见病、重症病方面,诊治能力得到有力提升,尽力呵护闽东人民的肺健康。

更多>>宁德要闻
更多>>民生要闻
更多>>新闻图片
  • 三天
  • 一周
  • 一月
点击排行
关于我们 | 广告服务 | 网站地图 | 网站公告
国新办发函[2001]232号 闽ICP备案号(闽ICP备05022042号) 互联网新闻信息服务许可证 编号:35120170001 网络文化经营许可证 闽网文〔2019〕3630-217号
信息网络传播视听节目许可(互联网视听节目服务/移动互联网视听节目服务)证号:1310572 广播电视节目制作经营许可证(闽)字第085号
网络出版服务许可证 (署)网出证(闽)字第018号 增值电信业务经营许可证 闽B2-20100029
福建日报报业集团拥有东南网采编人员所创作作品之版权,未经报业集团书面授权,不得转载、摘编或以其他方式使用和传播
职业道德监督、违法和不良信息举报电话:0591-87095403(工作日9:00-12:00、15:00-18:00) 举报邮箱:jubao@fjsen.com 福建省新闻道德委举报电话:0591-87275327