危险!牙根尖周囊肿致患者面部畸形
宁德卫健网9月6日讯(通讯员 陈艳 叶兴)近日,闽东医院口腔科来了一位特殊的年轻女患者小林,她右侧面部明显隆起畸形,面带焦虑,手持院外拍摄的口腔全景片求诊。当接诊医生告知她要行手术治疗时,她吃惊不已。
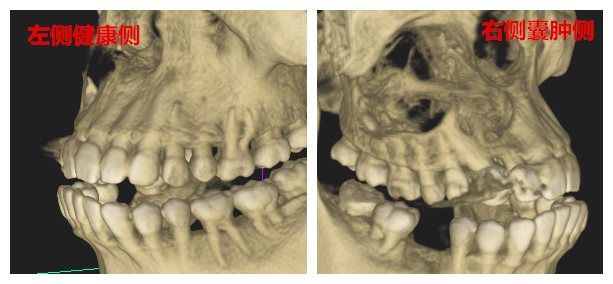
十年前,小林在院外做了右上颌前牙烤瓷冠修复,近来自觉烤瓷冠边缘不密合,嵌塞食物,倍感不适,想进行更换。闽东医院口腔科主治医师陈艳热情接待了她,经口腔CBCT检查发现,小林患有右侧上颌骨囊肿,囊肿特别大,累及七颗牙。

“由于右上前牙烤瓷冠修复制备牙体后,出现牙髓坏死,牙齿根尖周围出现慢性炎症,慢慢演变成颌骨囊肿。随着囊肿缓慢增大,累及更多牙齿,右侧面部骨质逐渐受压变形,导致面部畸形影响外观。”陈艳向小林耐心解释面部隆起畸形的原因,并告知其需要入院做进一步治疗。
经过与李建成主任医师团队沟通后,小林选择了相对保守的方案——囊肿开窗引流术,即分两次手术,先行囊肿开窗引流,待病变缩小后二次手术摘除,以减小手术切口及创伤,达到微创的目的。
入院后第2天为小林行右侧上颌骨囊肿开窗引流术,手术很顺利,术后效果好,术后3天小林满意而归。

“两颗小小患牙却造成面部畸形、面骨如此大的缺损,还要经历两次手术,并且面形将不易恢复,可见及时完善口内牙体治疗非常必要。”李建成介绍道,牙根尖周囊肿属于牙源性的颌骨囊肿,多发生于青壮年,大多由龋病所致,可在口腔内发现深龋、残根或死髓牙。其生长缓慢,初期无自觉症状,如果未获重视,骨质逐渐向周围膨胀,将导致面部畸形。如果囊肿发展到更大,表面骨质变为极薄的骨板,扪诊时可有乒乓球样的感觉。上颌骨的囊肿可侵入鼻腔及上颌窦,将眶下缘上推,而使眼球受到压迫,影响视力,甚至产生复视。如果邻近牙受到压迫,根周骨质吸收,可使牙发生移位、松动与倾斜。
李建成提醒广大患者,一旦发现自身牙齿出现问题,不能以牙齿是否疼痛作为治疗标准。患有牙髓疾病,不能抱有不痛就不治疗的心态,应积极治疗。不痛不痒的牙齿疾病,也可能造成极大的损害,甚至影响全身健康。大家要重视牙齿疾患,定期检查牙齿,保持口腔健康。




点击或扫描关注