告别“大脚骨”重拾稳健步伐 闽东医院开展重度踇外翻矫形手术
东南网11月25日讯(通讯员 程宏振)近日,宁德市闽东医院创伤骨科成功为多名重度踇外翻(俗称“大脚骨”)患者实施联合截骨矫形手术。该手术由曾峰主任医师主刀,得益于其在北京积水潭医院足踝外科进修期间引入的国内先进技术理念,医院在足踝畸形矫治领域实现新突破,为闽东地区踇外翻患者带来了康复福音。
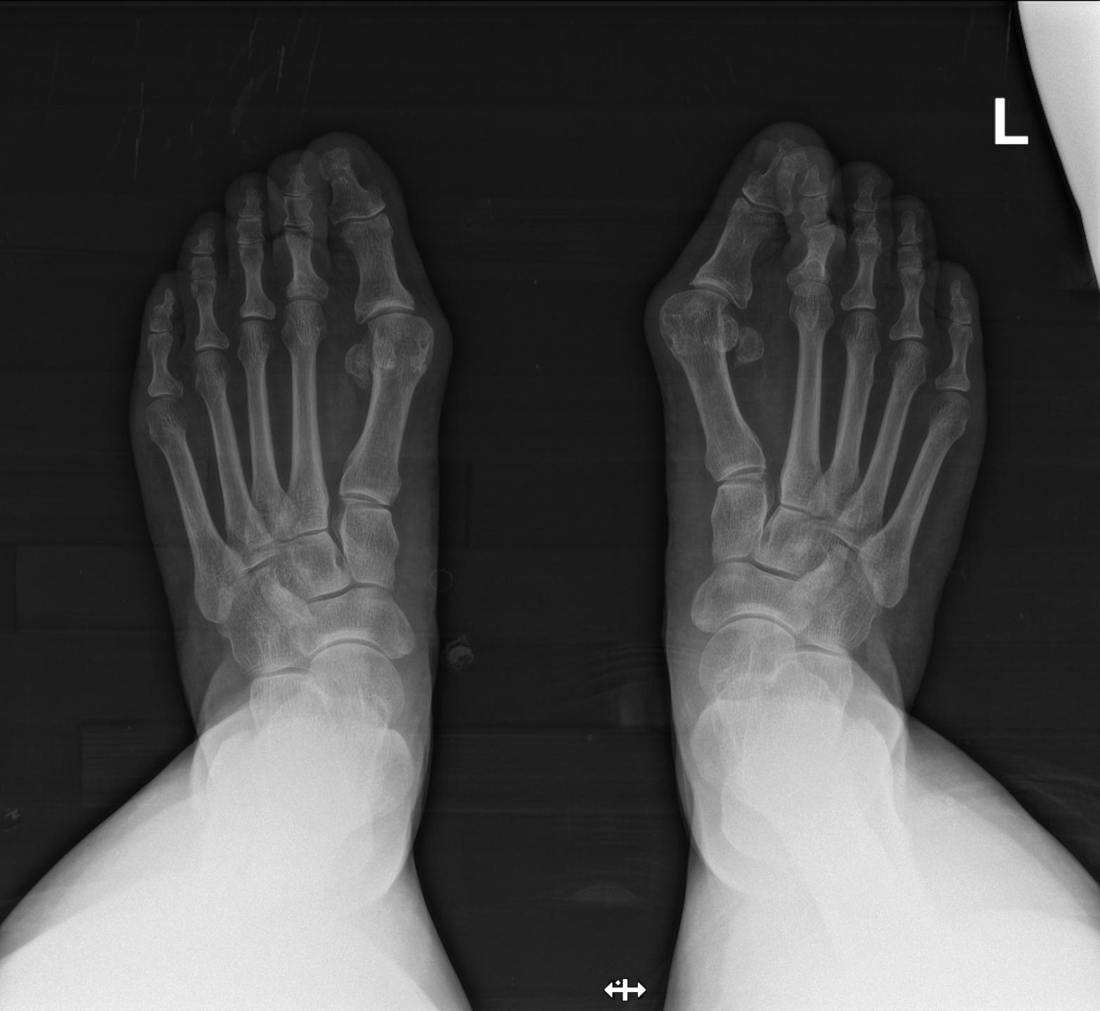
踇外翻并非单纯影响足部美观的问题,而是一种会进行性加重的足部疾病。对重度患者而言,这一疾病带来多重困扰:突出的“大脚骨”与鞋子摩擦,易引发红肿、疼痛,导致行走困难;第一跖骨头内侧骨赘增生,还会挤压其余足趾,引发锤状趾、叠趾等继发畸形;此外,患者难以长时间行走、无法挑选合适鞋子,日常生活质量和社交自信都受到严重影响。

术前影像
针对复杂的重度踇外翻病症,单一手术方式往往效果有限。闽东医院创伤骨科近期采用的综合术式,实现了“量体裁衣”式的精准治疗。据介绍,该术式主要包含四个关键步骤:实施腓肠肌腱膜松解(Baumann),可缓解跟腱紧张,减轻前足压力,有效降低术后复发风险;开展第一跖骨Scarf截骨,通过“Z”形截骨调整足部异常角度,重建前足宽度与足弓力学结构;进行第一趾近节趾骨Akin截骨,精细调整大脚趾末端角度,同步改善足部外观与功能;实施第二跖骨Weil截骨,重新分布前足压力,缓解第二、三跖骨头下疼痛及胼胝体问题。

术后影像
这种组合术式具备矫形能力强、固定牢固的优势,有利于患者术后早期开展功能锻炼,可一次性解决足部多种畸形与疼痛问题,助力患者恢复健康双足。

术前

术后
主刀医生曾峰主任医师于2023年赴北京积水潭医院足踝外科进修半年,期间系统学习前沿诊疗技术,并将个性化手术理念带回宁德,成功应用于临床实践。“在北京积水潭医院的进修经历,让我对足踝疾病诊疗有了更深入的理解。我们的治疗目标不仅是矫正骨骼形态,更要通过生物力学重建,让患者真正实现‘走得好、走得远’。看到患者术后恢复良好、重新展露笑颜,就是我们医护人员最大的欣慰。”曾峰说道。
目前,接受手术的患者均恢复良好,足部疼痛显著缓解,外观也得到明显改善。一位患者欣喜地表示:“真没想到在家门口的医院就能得到这么好的治疗,现在终于可以轻松挑选鞋子了!”
据了解,宁德市闽东医院创伤骨科将持续深耕足踝部创伤、畸形(如扁平足、高弓足)及运动损伤等疾病的诊疗领域,以精湛的医疗技术和优质的医疗服务,为闽东地区群众的足部健康保驾护航。




点击或扫描关注