您所在的位
宁德卫生健康新闻网 > 正文
闽东医院骨科微创手术助高龄老人对抗“人生最后一摔”
东南网12月1日讯(通讯员 程宏振)随着社会老龄化进程加速,高龄人群髋部骨折发生率显著上升,一次不经意地摔倒都可能造成严重威胁。其中,股骨粗隆间骨折作为骨科常见老年性疾病,其治疗方式经历了从保守治疗、传统大开刀手术到现代微创技术的革新跨越。

术前

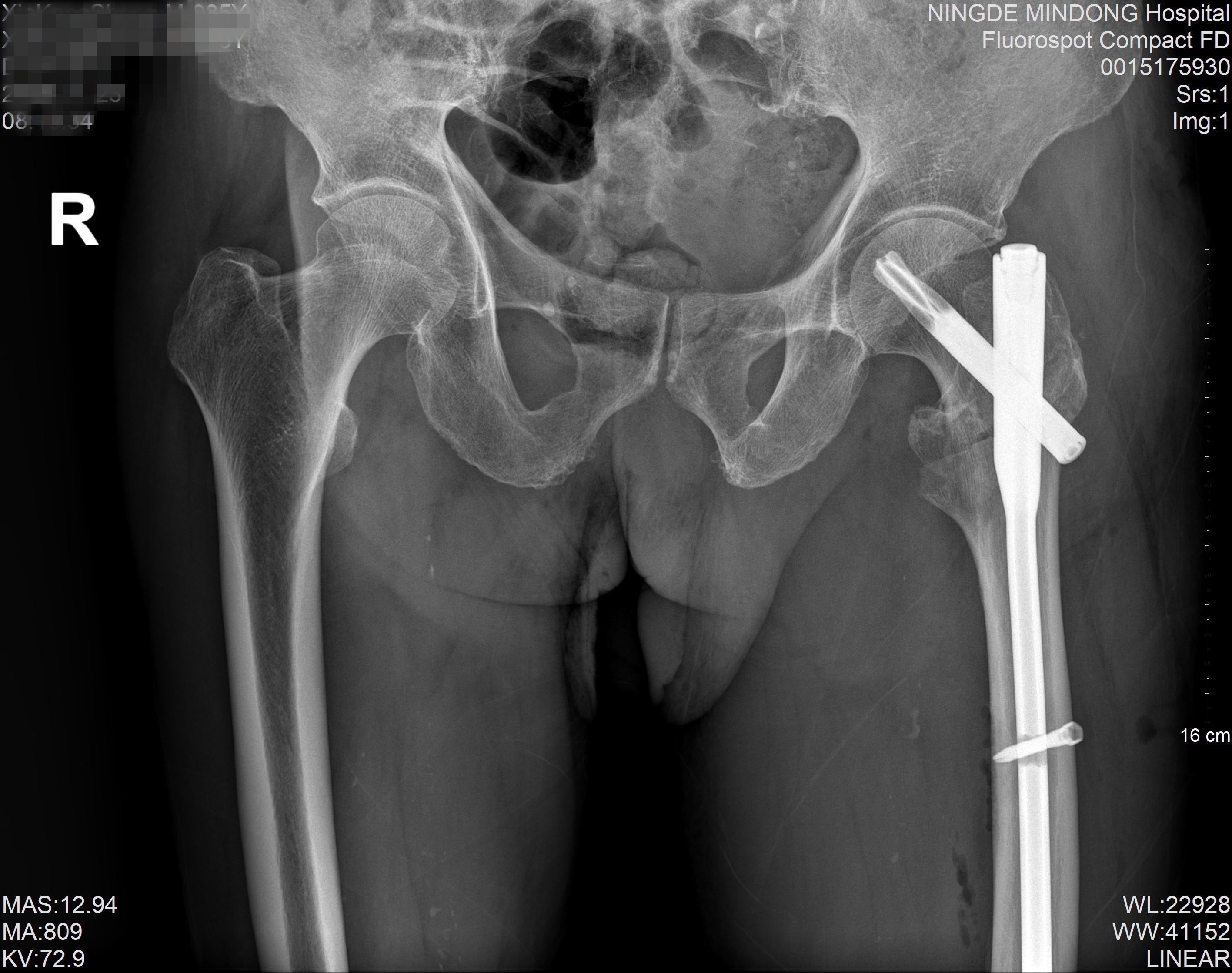
术后
近日,霞浦县一位85岁高龄的谢大爷,因摔伤导致左髋部剧痛、无法活动,于伤后第二天前往宁德市闽东医院就诊,被确诊为“左侧股骨粗隆间骨折”。创伤骨科何晓宇主任医师与张中宁副主任医师团队,为其实施了“左侧股骨粗隆间骨折闭合复位PFNA内固定术”。整台手术耗时约一小时,术中出血量仅约20毫升,展现了微创手术的优势。令人欣喜的是,术后第一天患者便能自行坐起,第二天即可站立,第三天已在助行器辅助下开始行走,恢复迅速。

患者康复
针对此类骨折,何晓宇主任医师指出,股骨粗隆间骨折素有“臭名昭著的骨折”乃至“人生最后一次骨折”之称。他解释道,老年患者常合并多种心脑血管及呼吸系统基础疾病,若因惧怕手术而选择长期卧床保守治疗,极易引发坠积性肺炎、褥疮、深静脉血栓等严重并发症,甚至危及生命。因此,秉承快速康复外科理念,对于身体状况允许的患者,主张在入院后48小时内尽早手术。微创手术以其创伤小、出血少、时间短、固定可靠等优点,能帮助患者尽早恢复活动功能,有效缓解疼痛,从而显著提升生存率与生活质量,并减轻家庭照护负担。
何晓宇同时强调,骨质疏松是老年骨折的内在“元凶”。在积极治疗骨折的同时,必须重视骨质疏松的预防与管理。他建议老年人日常应保证适度日照、合理补充钙质、在医生指导下使用抗骨质疏松药物,并在活动中时刻注意安全防护,从源头上降低骨折风险。
相关新闻
相关评论>>




点击或扫描关注