4岁男童口腔惊现“孪生”埋伏牙 警惕“不请自来”的多生牙
东南网3月22日讯(通讯员 范钦旭 吴钰涵)近日,宁德市闽东医院口腔科接诊了一位特殊的4岁小患者。孩子右上门牙脱落后,新长出的牙齿形态怪异,经医生检查,竟发现其口腔里藏着“额外访客”。这一案例也为广大家长敲响了警钟:儿童口腔健康,切莫忽视“多生牙”隐患。
怪牙“鸠占鹊巢”,CT揪出骨内“潜伏者”
家住福安的王女士最近发现,4岁儿子自行脱落的右上门牙处,长出了一颗形态与正常门牙迥异的新牙,状如握紧的拳头,这让她忧心不已。日前,她带着孩子来到宁德市闽东医院口腔科就诊。

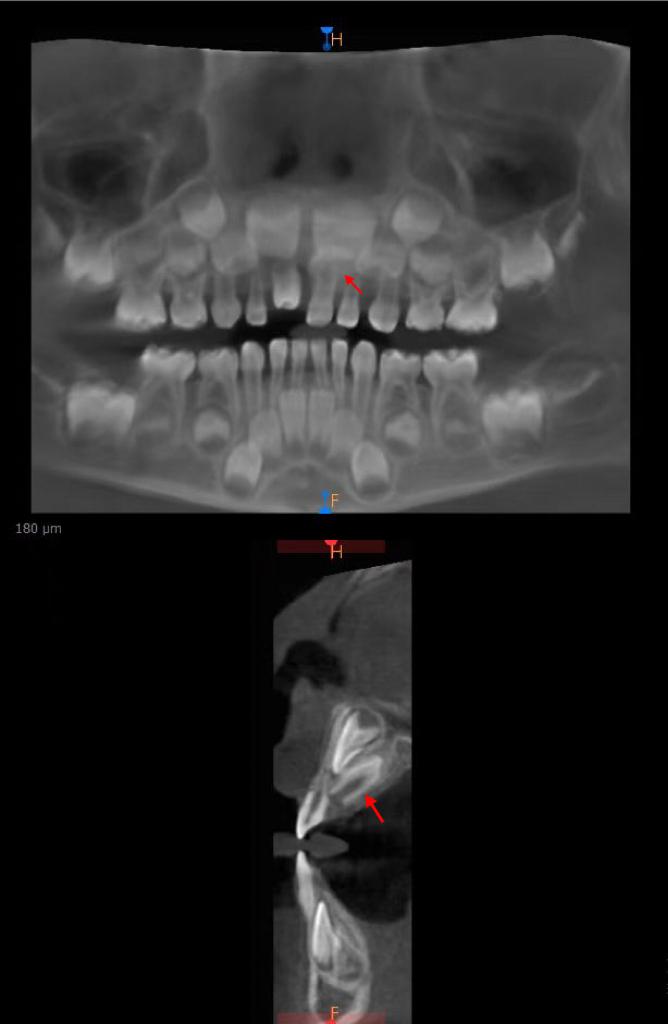
箭头所示为倒置生长的埋伏多生牙
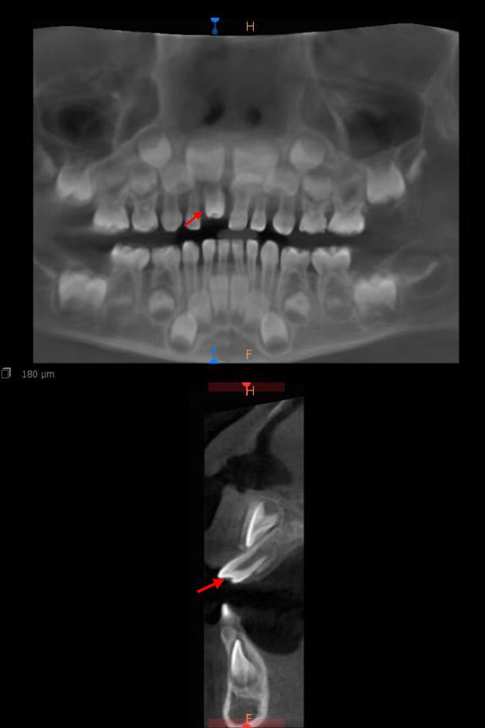
接诊的何孔炎主任医师在仔细检查后发现,这颗新牙极有可能是一颗多生牙。经家长同意,医院立即为孩子进行了口腔三维CT检查。结果证实了医生的判断:这颗形态异常的牙齿确为多生牙,而本该在此萌出的正常恒牙胚,正被它“压制”在下方。

箭头所示为已萌出多生牙
更为惊人的是,CT影像还揭示了另一个隐藏的“秘密”——在患儿左侧门牙牙根舌侧,竟还倒置生长着另一颗埋伏的多生牙。这颗牙齿犹如一颗“定时炸弹”,向上生长,极可能影响未来恒牙的正常萌出。
考虑到患儿年仅4岁,远未到正常换牙年龄,过早拔除多生牙恐影响其颌骨和牙列的生长发育。何孔炎在与家长充分沟通后,制定了“定期复查,择机拔除”的个性化方案。
何为多生牙?口腔里的“额外户”
究竟什么是多生牙?何孔炎主任医师介绍,多生牙,医学上也称额外牙,是指在正常的20颗乳牙或32颗恒牙数目之外,额外萌出或埋伏在颌骨内的牙齿。它最“偏爱”的区域是上颌前牙区,即我们常说的上门牙区域。多生牙可以一个单独存在,也可能口内同时存在数个甚至更多个。
这些“不速之客”形态各异,有的接近正常牙齿,有的则呈圆锥形或结节形等不规则形态。它们有的会破土而出,萌出于口腔;有的则喜欢“潜伏”在颌骨内,甚至以倾斜、倒置等异常方向生长,挤压正常牙齿的牙根,影响牙列发育。
何孔炎指出,目前多生牙的病因尚未完全明确,但主要与以下因素相关,一是遗传因素:具有明显的家族遗传倾向。若父母一方或双方有多生牙病史,子女患病概率会显著增加。二是发育异常:在牙齿发育的胚胎期,牙板过度增殖或牙胚分裂异常,都可能导致形成额外的牙胚,最终发育为多生牙。三是环境因素:孕期母体接触有害物质、营养不良或受到不良刺激等,也可能干扰胎儿牙胚发育,增加风险。
小小多生牙,危害不容小觑
许多家长认为“多一颗牙而已,没什么大不了”。但何孔炎主任医师强调,多生牙可能给孩子带来的口腔隐患不容小觑,主要表现在以下几个方面。
阻碍恒牙“安家”:埋伏的多生牙会占据正常恒牙的萌出通道,导致恒牙萌出困难、延迟、异位,甚至无法萌出,造成牙列拥挤错乱。
损伤“邻居”牙根:多生牙若与正常牙根紧密相邻,其持续生长会压迫、吸收邻牙牙根,严重时可导致邻牙松动甚至脱落。
诱发口腔疾病:萌出的多生牙易造成食物嵌塞,难以清洁,是龋齿、牙龈炎的“温床”;而埋伏的多生牙则可能引发含牙囊肿,破坏颌骨。
拉低颜值与功能:多生牙导致的牙列不齐、牙缝过大,不仅影响孩子的面容美观,还可能干扰发音,降低咀嚼效率。
“一旦发现孩子牙列异常、门牙迟迟不萌,或在口腔内看到额外牙齿,家长应第一时间带孩子就诊。”何孔炎建议,通过口腔X光片或三维CT检查,可以明确诊断。至于治疗方案,他强调必须“因人而异,个性化治疗”,比如观察随访、及时拔除、正畸干预、特殊保留等等。
何孔炎呼吁,儿童口腔健康,预防和早筛是重中之重。他建议家长从孩子3岁起,每半年进行一次全面的口腔检查,并配合必要的影像学检查,以便早期发现多生牙、龋齿等隐患并及时处理。
同时,孕期应注意营养均衡,避免接触有害物质,从源头降低胎儿发育异常的风险。在孩子换牙的关键期,更要密切关注牙齿萌出情况,一旦发现异常,务必及早就医。
别让藏在口腔里的“小意外”,成为影响孩子一生健康的“大隐患”。重视儿童口腔检查,让孩子的灿烂笑容,从“齿”开始。




点击或扫描关注