您所在的位
宁德卫生健康新闻网 > 正文
手指功能早恢复 宁德市闽东医院微创置钉技术惠及指骨骨折患者
东南网4月9日讯(通讯员 王朝强)手指,作为人体最灵巧的器官之一,承担着日常工作与生活中不可或缺的精细操作。一旦发生指骨骨折,患者不仅要承受剧烈疼痛,手部功能的恢复更面临严峻考验。近日,宁德市闽东医院创伤骨科成功采用微创置钉技术,为指骨骨折患者开辟了一条更微创、更高效的治疗新路径,有效克服了传统术式的诸多弊端。

术后影像

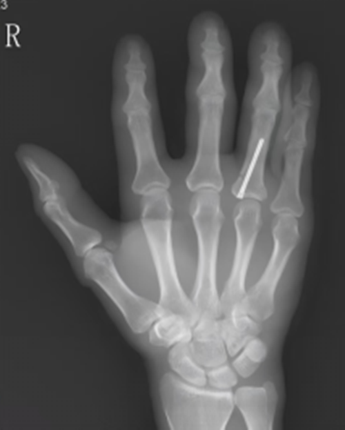
术前影像
以往,指骨骨折多采用克氏针或钢板内固定。然而,这两类方法各有不足:克氏针容易刺激周围软组织,可能影响屈伸肌腱的正常滑动;钢板固定则需要较大的手术切口,术后疤痕明显,且极易引发肌腱粘连。不少患者术后出现手指功能恢复迟缓、关节僵硬等问题,生活质量大打折扣,部分人甚至无法重返原有工作岗位。

手术切口
针对上述难题,宁德市闽东医院创伤骨科何晓宇主任医师团队经过反复临床实践与技术攻关,成功引入并推广了微创置钉技术。该技术依托精准的术前影像学评估,仅需一个不到5毫米的微小切口,即可完成骨折的稳定固定。与传统方法相比,微创置钉最大程度减少了对软组织和肌腱的损伤,术后手指肿胀轻、疼痛感小,为患者早期开展功能锻炼创造了有利条件。
52岁的林先生因外伤导致手指裂伤、指间关节脱位合并指骨骨折,一度担心术后会留下后遗症。接受微创置钉手术后,第二天他便在医生指导下开始进行轻度屈伸练习,一周后手指活动度已恢复大半。“不怎么痛,现在手指就可以活动了!”林先生的感慨道出了众多患者的心声。创伤骨科此项技术的成功应用,为手部功能的高质量恢复提供了新的保障。
相关新闻
相关评论>>




点击或扫描关注